Dr. Markova: Fraxel
Омоложение кожи,
разглаживание морщин,
сужение пор,
лечение постакне,
лечение пигментации и др.
Акция!
Глаза:
13 000 руб.

Лицо:
24 000 руб.

Лицо + веки:
27 000 руб.

Лицо + шея:
29 000 руб.

Лицо + веки + шея:
35 000 руб.

Лицо + шея + декольте:
44 000 руб.

Лицо+ веки + шея + декольте
49 800 руб.
При покупке абонемента на три процедуры
Фраксель предоставляется скидка от 14% до 30%.
Акция!
ЛУЧШАЯ ЦЕНА ГАРАНТИРОВАНА!
По данным маркетингового исследования от 07 июля 2020 года.
Результат после первой процедуры!

Маркова
Юлия Александровна

Врач дерматовенеролог, дерматокосметолог, доцент кафедры ФГАОУ ВО РУДН.

Блестяще владеет всеми передовыми технологиями и выполняет такие процедуры как:
— Ультразвуковой Smas лифтинг (Альтера, Ультраформер, Ютимс).
— Ультразвуковой липолиз / липосакция (Ульфит, Ютимс).
— Игольчатые рф лифтинги (Fractora, Элисус).
— Фотоомоложение и фототерапия (Lumecca, МедиоСтар, M22).
— Лазерное омоложение (Fraxel).
— Уменьшение биологического возраста кожи (Аэрджент, Redgener Activ, Коллагенотерапия).
— Лифтинговые инъекционные технологии (Скульптра, Радиесс, Эстефил, Паур филл).
— Объемная контурная пластика (скулы, угол челюсти, подбородок и т.д).
— Нитевые технологии Ботулинотерапия.
— Redgen Lab (PRP).
— Озонотерапия.
— Карбокситерапия.
— Анти эйдж терапия и многое другое.

До и после

Сделай первый шаг к таким результатам
запишись на бесплатную консультацию:
Преимущества Fraxel Dual
1
Характеристики
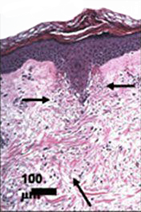
Fraxel Dual – лазер с непревзойденными характеристиками. Предназначен для необлятивного фракционного ремоделирования кожи.
2
Результат
Гарантированный эффект омолаживания, выравнивания рельефа, цвета и текстуры.
3
Безопасность
Гораздо безопаснее химических пилингов, дермабразии и других лазерных шлифовок.
4
Эффективность
Эффективность Fraxel Dual такая же как и от очень агрессивных абляционных лазерных технологий, а реабилитация короче в 4 раза, от 1 до 3 дней.
5
Длительность эффекта
Эффект омоложения сохраняется от 3-х до 5-и лет.
6
Удобство
Процедуру Лифтинг можно делать в любое время года.
7
Универсальность
Можно проводить на любом участке лица и тела, при любом типе кожи.
8
Точность
Работает только на поверхностном слое кожи.

Применение

1. Мелкие и сетчатые морщины

2. Крупные морщины (в комбинации с контурной пластикой)

3. Мимические морщины (в комбинацией с ботулинотерапией)

4. Другие признаки хроно- и фотостарения рубцы – любой этиологии и вида за исключением келоидных

5. Стрии кожи

6. Рубцы постакне (в том числе с признаками дисхромии)

7. Расширенные поры

8. Мелазма

9. Пигментные пятна (солнечные, старческие)

10. Неровный цвет и текстура кожи

Каких результатов ожидать

Сразу после
Через 48 часов
Через 7 дней
Через месяц
через 3 месяца
Результат проведения курса из 1-2 процедур Fraxel Dual – это ровная по цвету молодая и упругая кожа.

Поскольку Fraxel – это процедура, которая реально стимулирует образование новой свободной от дефектов кожи, результат омоложения от курса процедур Fraxel сохраняется на многие годы, а результат от воздействия Fraxel на рубцы и растяжки сохраняется навсегда.

В отличие от процедур контурной пластики, инъекций ботулотоксина, а также любых видов пластических операций, Fraxel Dual не изменяет внешность кардинальным образом и не делает ваше лицо неестественным, главный результат омоложения Fraxel – это возвращение кожи к состоянию, в котором она была 5-10 лет назад.

Среди всех аппаратных процедур омоложения — это по-настоящему один из самых высоких показателей.

Как проходит процедура Fraxel Dual:

1
На обрабатываемую область наносится кремовая анестезия
2
Осуществляется лазерное воздействие
3
Нанесение успокаивающего крема на обработанные участки

Прайс Fraxel Dual

FRAXEL: ЛИЦО
Лазерное омоложение:
1 процедура:
Лазерное омоложение:
Глаза
13 000 RUB
Лазерное омоложение:
Лицо
24 000 руб.

Лазерное омоложение:
лицо + веки
27 000 руб.
Лазерное омоложение:
Лицо + шея
29 000 руб.
Лазерное омоложение:
Лицо + веки + шея
35 000 руб.
Лазерное омоложение:
Лицо + шея + декольте
44 000 руб.
Лазерное омоложение:
Лицо+ веки + шея + декольте
49 800 руб.
Местная анастезия Мезонамб (крем) оплачивается отдельно
(1 область 2400 руб.)
FRAXEL: ЛИЦО
Лазерное омоложение:
Курс из 3 процедур:
Лазерное омоложение:
Глаза
27 600 RUB
Лазерное омоложение:
Лицо
61 500 руб.
Лазерное омоложение:
лицо + веки
71 800 руб.
Лазерное омоложение:
Лицо + шея
81 600 руб.
Лазерное омоложение:
Лицо + веки + шея
95 800 руб.
Лазерное омоложение:
Лицо + шея + декольте
120 000 руб.
Лазерное омоложение:
Лицо+ веки + шея + декольте
134 400 руб.
Местная анастезия Мезонамб (крем) оплачивается отдельно
(1 область 2400 руб.)
FRAXEL: ТЕЛО
Голени (вкруговую)
1 процедура
48 000 RUB
Ноги (голени не входят)
1 процедура
(передняя, задняя, боковые, внутренние поверхности бёдер + колени)
61 500 руб.
Местная анастезия Мезонамб (крем) оплачивается отдельно
(1 область 2400 руб.)
FRAXEL: ТЕЛО
Пакеты из 3 процедур:
Живот
Пакет 3 процедуры
96 000 RUB
Руки полностью
Пакет 3 процедуры
90 000 руб.
Кисти
Пакет 3 процедуры
36 000 руб.
Локти
Пакет 3 процедуры
30 000 руб.
Колени
Пакет 3 процедуры
66 000 руб.
Спина
Пакет 3 процедуры
90 000 руб.
Ноги полностью вкруговую
Пакет 3 процедуры
275 000 руб.
Внутр. поверхность бёдер
Пакет 3 процедуры
58 050 руб.
Ноги, передняя часть
Пакет 3 процедуры
98 000 руб.
Ноги, задняя часть
Пакет 3 процедуры
98 000 руб.
Ноги, Боковая + Внутренняя
Пакет 3 процедуры
68 000 руб.
Местная анастезия Мезонамб (крем) оплачивается отдельно
(1 область 2400 руб.)